DENTURES入れ歯
「噛める」ことは人生の質を守ること
入れ歯は「歯が無いところを埋めるもの」ではなく、
”食べる・話す・笑う”を行えるようにするための大切な治療です。
はじめて入れ歯を考えている方も、「以前作ったけど合わなくて…」という方もご安心ください。入れ歯は机の上で作るだけでは完成せず、実際にお口の中や生活の中で微調整を重ねることで、初めて快適になります。当院では保険・自費どちらにも対応しておりますので、まずはお気軽にご相談ください。
- 入れ歯が合わない・痛いので快適に過ごせるようにしたい
- 外れやすいけど仕方ないと思っている
- 誰に相談したらいいか分からない
太田歯科では入れ歯の快適さをご提供しています
入れ歯は、失った歯の機能を回復し、笑顔を取り戻すための重要な選択肢です。
「またしっかり食べたい」「いつもの暮らしを快適に」「気にせず笑いたい」など様々な患者様の気持ちを、私たちがサポートします。
入れ歯に関するお悩みなど
丁寧にカウンセリング
まずはあなたのお悩みを教えてください。入れ歯が合わない、痛みがある、見た目が気になる、食事がしづらい、手入れが面倒、費用が心配。それぞれ患者様のお悩みがあるはずです。まずは相談から初めて、健康状態含め一緒に決めていきましょう。
さまざまな入れ歯の種類や
症例などを紹介
”入れ歯”と言っても、様々な種類があります。当院では、すべての患者様へ、入れ歯の種類の説明をさせていただいております。メリット・デメリットも含めて説明し、後悔しない選択ができるようサポートします。
わかりやすい治療の流れや
費用・アフターサポート
入れ歯ができるまでの流れや費用について、資料を使ってわかりやすくお伝えします。完成後も、
・定期的なケア
・調整
・正しい磨き方のサポート
までしっかり対応し、長く快適に使える入れ歯を目指します。
症例のご紹介
-
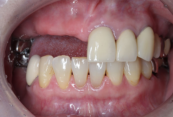
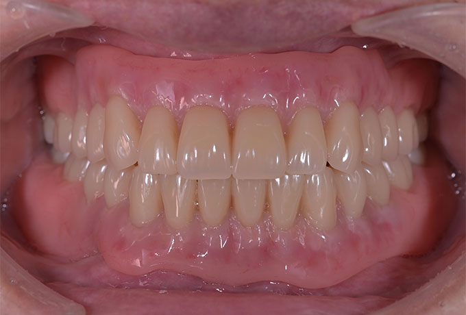
主訴:上下FDがゆるくて食事ができない
-
年齢性別:80代男性
-
治療内容:上下チタン床義歯・デンチャーカラーリング
-
期間回数:5ヶ月/9回(※難症例のため期間と回数多め)
-
費用:1,110,000円(税別)
-
リスク:完成後も定期的に義歯のメンテナンスにお越しいただく必要があります。
-
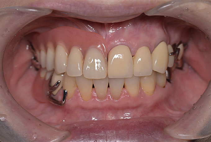
主訴:右上ブリッジがぐらつく、噛むと少し痛い
-
年齢性別:60代女性
-
治療内容:上下コバルトクロム床部分義歯
-
期間回数:5ヶ月/9回
-
費用:330,000円(税抜)
-
リスク:完成後も定期的に義歯のメンテナンスにお越しいただく必要があります。
入れ歯治療は単なる「物づくり」ではなく、患者さまの生活を支える医療だと考えています。
食事が楽しめること、人と会って笑えること、毎日の生活でストレスなく過ごせること――
そのすべてを支えるのが「自分に合った入れ歯」です。
保険診療と自費診療
当院では様々な種類の入れ歯に対応可能です。入れ歯治療には、保険診療と自費診療の2つの選択肢があります。
どちらも役割がありますが、材料の自由度・製作にかけられる時間・細かな作り込み などに大きな違いがあります。
保険診療
- ◆ 使用できる材料の種類が限られる
- ◆ 製作工程にかけられる時間が限られる
- 「痛い・外れる・噛みにくい」といったお悩みが出やすくなります。
自費診療
- ◆医院ごとに使用する材料等を自由に選ぶことができる。
- より精密に作り込むことができ、
自然な見た目や快適さを追求できます。
“保険の選択肢も、自費の選択肢も正しく説明したうえで、患者さまご自身に合う方法を選んでいただきたい” という姿勢を大切にしています。
- 噛める
入れ歯を
作りたい - 外れやすさや
痛みを
改善したい - 見た目にも
こだわりたい
そんな方は、ぜひ一度ご相談ください。
専門的な知識をもとに、あなたに最適な入れ歯をご提案いたします。
Doctor 太田 英和
経歴
- 県立浜松西高等学校
- 明海大学歯学部
- 静岡県磐田市 北島歯科医院 勤務
- 静岡県浜松市小豆餅 山口歯科医院 勤務
- 2022年 太田歯科 勤務
所属学会
- 日本口腔インプラント学会
- 日本歯内療法学会
スタディーグループ
- 5-D Japan
- 5-D SPIS
- 静岡県口腔インプラント研究会
当院では受診が初めての⽅のみ
WEB予約可能です。
※当院での受診歴のある⽅はLINE、もしくはお電話にてご予約をお願い致します。
- ・ご予約当日は問診票の記入がございますので、ご予約時間の15分前にお越しください。
- ・WEB予約後、予約完了メール、及び前⽇に当院より確認メールが届きます。
※ 迷惑メールの受信制限などをされている⽅は apo@dentnet.co.jp からのメールを受信できるよう設定をお願い致します。








